Please note that our website uses cookies. To learn more about our cookies and how we use them, please read our Privacy Policy.
Dental Implants
for Missing Teeth
Bespoke dental implants delivered with clarity, precision, and trusted care in our relaxing central London clinic.

A Secure, Natural Way to Replace Missing Teeth
Losing a tooth can affect more than just your smile. Many people notice subtle changes first, choosing food more carefully, feeling less confident when speaking, or becoming aware of a gap they never used to think about. These moments can add up, and it is completely natural to want a solution that feels secure, natural, and long-lasting.
At Square Mile Dental Centre, we help patients replace missing teeth with dental implants that are designed to restore confidence, comfort, and everyday function. Our approach is careful, considered, and shaped around you, with clear guidance at every stage.

A Thoughtful Way to Replace Missing Teeth
When a tooth is lost, there are several ways to manage the space. Some patients explore removable dentures, others consider bridges. While these options can be suitable in certain situations, they may not always feel stable or comfortable long term, and bridges can involve reshaping neighbouring teeth that are otherwise healthy.
Dental implants offer a different approach. They replace the tooth from the root upwards, creating a fixed foundation that stands independently. For many patients, this provides a sense of confidence that removable options simply cannot offer.
Implants are widely used because they support both appearance and function, while also helping to maintain the supporting bone over time.
A Thoughtful Way to Replace Missing Teeth
When a tooth is lost, there are several ways to manage the space. Some patients explore removable dentures, others consider bridges. While these options can be suitable in certain situations, they may not always feel stable or comfortable long term, and bridges can involve reshaping neighbouring teeth that are otherwise healthy.
Dental implants offer a different approach. They replace the tooth from the root upwards, creating a fixed foundation that stands independently. For many patients, this provides a sense of confidence that removable options simply cannot offer.
Implants are widely used because they support both appearance and function, while also helping to maintain the supporting bone over time.

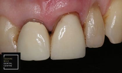
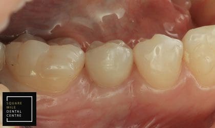
What Is a Dental Implant?
A dental implant uses a small, precision-made titanium post that acts like a new tooth root. Titanium is biocompatible, which means the body accepts it well. Over time, the implant naturally bonds with the surrounding bone, creating a stable base.
Once this foundation is secure, a bespoke crown is fitted on top. This new tooth is carefully designed to blend with your natural teeth in colour, shape, and proportion, so it sits comfortably within your smile.
The result is a tooth that feels secure when you eat, speak, and smile, without relying on neighbouring teeth for support.


What Is a Dental Implant?
A dental implant uses a small, precision-made titanium post that acts like a new tooth root. Titanium is biocompatible, which means the body accepts it well. Over time, the implant naturally bonds with the surrounding bone, creating a stable base.
Once this foundation is secure, a bespoke crown is fitted on top. This new tooth is carefully designed to blend with your natural teeth in colour, shape, and proportion, so it sits comfortably within your smile.
The result is a tooth that feels secure when you eat, speak, and smile, without relying on neighbouring teeth for support.

Why Many Patients Choose Dental Implants
Dental implants are often chosen because they offer practical, long-term benefits:
A fixed solution that feels secure and stable
No reliance on adjacent teeth for support
Support for the jawbone, helping maintain facial structure
A natural look and comfortable bite
With regular reviews and good hygiene at home, implants can provide many years of reliable service.
Why Many Patients Choose Dental Implants
Dental implants are often chosen because they offer practical, long-term benefits:
A fixed solution that feels secure and stable
No reliance on adjacent teeth for support
Support for the jawbone, helping maintain facial structure
A natural look and comfortable bite
Reliable outcomes when supported by good oral care
With regular reviews and good hygiene at home, implants can provide many years of reliable service.
Your Implant Journey at Square Mile Dental Centre
We know that clarity makes a real difference. Understanding what to expect can help you feel more at ease and confident about your decisions.
01
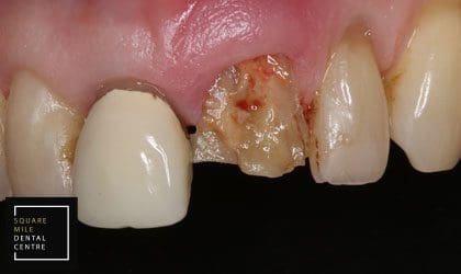
Initial Consultation and Planning
Your journey begins with a detailed conversation about your goals and concerns. Digital scans and imaging allow us to assess bone levels, gum health, and spacing with accuracy. This technology supports careful planning, helping us visualise placement and explain your options clearly.
03
Healing and Integration
Following placement, the implant is given time to settle and bond with the bone. During this phase, we monitor healing and provide clear advice to support recovery.
02
Implant Placement
The implant is carefully placed during a dedicated treatment visit. This is carried out with precision and care, using modern techniques designed to support comfort and predictable outcomes. Many patients are surprised by how manageable this stage feels.
04
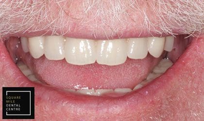
Fitting Your New Tooth
Once the foundation is ready, your bespoke crown is fitted securely into place. This final step brings balance back to your bite and completes your smile.
If additional preparation such as bone grafting is needed, this is discussed openly from the outset so you can make informed decisions with confidence.
01
Initial Consultation and Planning
Your journey begins with a detailed conversation about your goals and concerns. Digital scans and imaging allow us to assess bone levels, gum health, and spacing with accuracy. This technology supports careful planning, helping us visualise placement and explain your options clearly.
02
Implant Placement
The implant is carefully placed during a dedicated treatment visit. This is carried out with precision and care, using modern techniques designed to support comfort and predictable outcomes. Many patients are surprised by how manageable this stage feels.
03
Healing and Integration
Following placement, the implant is given time to settle and bond with the bone. During this phase, we monitor healing and provide clear advice to support recovery.
04
Fitting Your New Tooth
Once the foundation is ready, your bespoke crown is fitted securely into place. This final step brings balance back to your bite and completes your smile.
If additional preparation such as bone grafting is needed, this is discussed openly from the outset so you can make informed decisions with confidence.
Suitability and Individual Considerations
Dental implants are suitable for many adults, including those who have had missing teeth for some time. During your assessment, we consider factors such as:
● Overall oral health
● Bone volume and strength
● Gum health
● Medical history and lifestyle factors
Where the supporting bone has reduced over time, carefully planned grafting procedures can often rebuild the area successfully. Our role is to guide you honestly on what is appropriate for your situation.


Experienced Implant Care You Can Trust
Implant dentistry requires experience, precision, and careful judgement. At Square Mile Dental Centre, implant care is led by clinicians with extensive expertise in both straightforward and complex cases.
Sanjay Sethi has over 15 years of experience restoring missing teeth with implant-retained crowns and is widely respected as a lecturer in implant dentistry. His work focuses on stability, function, and natural appearance, particularly in cases requiring advanced planning.
Amit Patel has a special interest in complex restorative and implant dentistry. His approach is measured and ethical, ensuring treatments are planned with long-term oral health in mind and delivered in a relaxed, supportive manner.
Whether replacing a front tooth or a back molar, treatment options are explained clearly so you can decide what feels right for you.

Suitability and Individual Considerations
Dental implants are suitable for many adults, including those who have had missing teeth for some time. During your assessment, we consider factors such as:
● Overall oral health
● Bone volume and strength
● Gum health
● Medical history and lifestyle factors
Where the supporting bone has reduced over time, carefully planned grafting procedures can often rebuild the area successfully. Our role is to guide you honestly on what is appropriate for your situation.

Experienced Implant Care You Can Trust
Implant dentistry requires experience, precision, and careful judgement. At Square Mile Dental Centre, implant care is led by clinicians with extensive expertise in both straightforward and complex cases.
Sanjay Sethi has over 15 years of experience restoring missing teeth with implant-retained crowns and is widely respected as a lecturer in implant dentistry. His work focuses on stability, function, and natural appearance, particularly in cases requiring advanced planning.
Amit Patel has a special interest in complex restorative and implant dentistry. His approach is measured and ethical, ensuring treatments are planned with long-term oral health in mind and delivered in a relaxed, supportive manner.
Whether replacing a front tooth or a back molar, treatment options are explained clearly so you can decide what feels right for you.











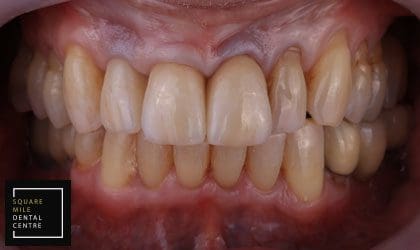
Long-Term Value and Reassurance
Dental implants are a considered investment in your oral health. While they may involve a higher initial cost than some alternatives, their durability and stability often make them a sound long-term choice.
At Square Mile Dental Centre, dental implant treatments include a five-year guarantee, reflecting the standards we hold ourselves to in planning, materials, and clinical care.
Long-Term Value and Reassurance
Dental implants are a considered investment in your oral health. While they may involve a higher initial cost than some alternatives, their durability and stability often make them a sound long-term choice.
At Square Mile Dental Centre, dental implant treatments include a five-year guarantee, reflecting the standards we hold ourselves to in planning, materials, and clinical care.
Recovery, Comfort, and Ongoing Care
Most patients find recovery after implant placement straightforward. Local anaesthetic is used, and any post-treatment discomfort is usually short-lived.
We provide clear aftercare guidance, including advice on eating, cleaning, and follow-up visits. Ongoing care at home, combined with regular dental reviews, plays an important role in supporting long-term results.
Our team remains available to answer questions throughout your recovery.
Moving Forward with Confidence
For many patients, dental implants restore more than a missing tooth. They restore ease, confidence, and the freedom to enjoy everyday life without hesitation.
If you would like to explore whether dental implants are right for you, we are here to offer clear advice and thoughtful guidance in a relaxing central London setting.
Recovery, Comfort, and Ongoing Care
Most patients find recovery after implant placement straightforward. Local anaesthetic is used, and any post-treatment discomfort is usually short-lived.
We provide clear aftercare guidance, including advice on eating, cleaning, and follow-up visits. Ongoing care at home, combined with regular dental reviews, plays an important role in supporting long-term results.
Our team remains available to answer questions throughout your recovery.
Moving Forward with Confidence
For many patients, dental implants restore more than a missing tooth. They restore ease, confidence, and the freedom to enjoy everyday life without hesitation.
If you would like to explore whether dental implants are right for you, we are here to offer clear advice and thoughtful guidance in a relaxing central London setting.
Frequently Asked Questions
How painful is dental implant treatment really?
Most patients report that implant placement is more comfortable than expected. Discomfort is usually mild and manageable with standard pain relief during recovery.
How long do dental implants last in real life?
With good oral hygiene and regular dental reviews, implants can last decades. Many patients keep them for life without issues.
Can I have an implant if my tooth was removed years ago?
Yes, implants are often suitable even many years after tooth loss. Bone levels are assessed carefully, and grafting may be an option if needed.
Will a dental implant look different from my natural teeth?
Implant crowns are custom-made to match your existing teeth in colour, shape, and size, so they usually blend in seamlessly.
How long does the full implant process take from start to finish?
The total timeline can range from a few months to longer, depending on healing time and whether additional procedures are required.
Can I eat normally after getting a dental implant?
Once healing is complete and the crown is fitted, most patients eat normally without the slipping or pressure often associated with dentures.
What happens if my body rejects the implant?
True rejection is rare. Implants can occasionally fail to integrate, but this is uncommon and usually identified early during follow-up care.
Are dental implants worth the cost compared to other options?
Many patients feel implants offer better long-term value due to their stability, comfort, and durability compared to removable alternatives.
testimonials
Posted on John Galeano07/10/2025Trustindex verifies that the original source of the review is Google. I visited Square Mile Dental for the first time and was attended by Luciana. She was very professional and did an excellent job, the cleaning only took one hour! I thought I might need two sessions, but it wasn’t necessary. I’m very happy with the results and will try to visit my dentist more regularly from now on.Posted on Volkan Ceylan01/07/2025Trustindex verifies that the original source of the review is Google. We came to London from Türkiye for a holiday, and unfortunately, my girlfriend had a sudden dental issue during our trip. We were honestly very stressed and upset about it. However, we are incredibly grateful to the entire team at Square Mile Dental Centre. They took such great care of her, and thanks to them, our holiday was saved from turning into a nightmare. We truly appreciate their kindness and professionalism!Posted on Clara Korsgren02/05/2025Trustindex verifies that the original source of the review is Google. Dr Amit has been excellent throughout my treatment at Square Mile Dental Centre! Would highly recommend :)Posted on G D23/04/2025Trustindex verifies that the original source of the review is Google. Great staff, very nice and competent. Always feel welcome.Posted on Nigel Thorpe17/04/2025Trustindex verifies that the original source of the review is Google. Excellent care and treatment from Monika, the hygienist. Could not be better. NigelPosted on Hannah R11/04/2025Trustindex verifies that the original source of the review is Google. Square Mile Dental is the best dental practice i've been to in London since i've moved here. I've tried a few out but haven't found a great one until now. Everyone i've seen here has been very professional and you get 5 star service every time. They're very thorough, make you feel comfortable, and do an excellent job!Posted on Amrit Sandhu13/02/2025Trustindex verifies that the original source of the review is Google. Came to Square Mile Dental for my Invisalign treatment and am so happy with my result! The team were nothing but professional and helpful all through my treatment. A huge thanks to Elaine, Shazna and Rosie for making my treatment seamless!!Posted on Richard23/01/2025Trustindex verifies that the original source of the review is Google. Highly recommend Square Mile. The treatment and care I received from Dr Patel, Agnieszka and team has been exceptional. The continuity of care they are able to provide, having so much expertise and experience all under one roof, really sets them apart. I felt fully informed and supported at every step, and I’m really happy with the results.