Please note that our website uses cookies. To learn more about our cookies and how we use them, please read our Privacy Policy.
Composite Fillings
at
Square Mile Dental Centre
Restore strength and confidence with discreet tooth-coloured fillings at our relaxing central London clinic.

Natural-Looking Composite Fillings, Carefully Done
A healthy smile should feel comfortable, look natural and fit easily into everyday life. Yet small issues such as tooth decay, chips or worn edges can quietly affect how you eat, speak or smile. Composite fillings offer a modern, discreet way to restore damaged teeth while keeping your smile looking like your own.
At Square Mile Dental Centre, we use composite fillings, often called tooth-coloured or white fillings, to repair teeth with care and precision. They are designed to blend naturally with your enamel and support the long-term health of the tooth, without drawing attention to dental work.

Your Composite Filling Appointment
Having a composite filling is usually straightforward and completed in a single visit. Our team will guide you through each step, explaining what is happening and why, so you feel informed and comfortable throughout.
The area is gently numbed before any damaged tooth structure is removed. The tooth is then cleaned and prepared to ensure the filling bonds securely. The composite material is applied in thin layers, carefully shaped to restore the tooth’s natural form. A special light is used to harden each layer before the final surface is polished smooth.
You can return to normal activities the same day, with your tooth restored in both function and appearance.
Your Composite Filling Appointment
Having a composite filling is usually straightforward and completed in a single visit. Our team will guide you through each step, explaining what is happening and why, so you feel informed and comfortable throughout.
The area is gently numbed before any damaged tooth structure is removed. The tooth is then cleaned and prepared to ensure the filling bonds securely. The composite material is applied in thin layers, carefully shaped to restore the tooth’s natural form. A special light is used to harden each layer before the final surface is polished smooth.
You can return to normal activities the same day, with your tooth restored in both function and appearance.

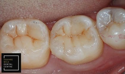
Why Many Patients Choose Composite (White) Fillings
Composite fillings are a popular choice for patients who want reliable dental repair without the visible contrast of traditional silver fillings. They are suitable for both front and back teeth and can be shaped with precision to match the natural contours of your bite.
Patients often choose composite fillings because they offer:
- A natural, tooth-coloured appearance
- Strong bonding that supports the remaining tooth
- A mercury-free alternative to older materials
- Flexibility for cosmetic and restorative care
- A discreet finish that fits everyday life
For people working and socialising in central London, these details matter. Composite fillings allow you to smile, speak and eat with confidence, without drawing attention to dental treatment.


Why Many Patients Choose Composite (White) Fillings
Composite fillings are a popular choice for patients who want reliable dental repair without the visible contrast of traditional silver fillings. They are suitable for both front and back teeth and can be shaped with precision to match the natural contours of your bite.
Patients often choose composite fillings because they offer:
- A natural, tooth-coloured appearance
- Strong bonding that supports the remaining tooth
- A mercury-free alternative to older materials
- Flexibility for cosmetic and restorative care
- A discreet finish that fits everyday life
For people working and socialising in central London, these details matter. Composite fillings allow you to smile, speak and eat with confidence, without drawing attention to dental treatment.

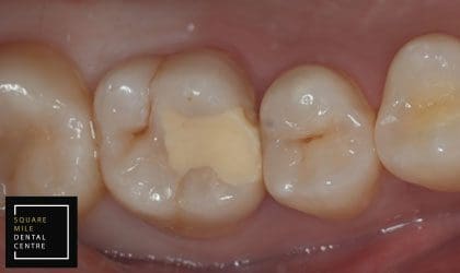
What Are Composite Fillings?
Composite fillings are made from a strong resin material that is carefully matched to the shade of your natural tooth. Once placed, they sit neatly within the tooth structure, restoring strength and appearance at the same time.
They are commonly used to treat:
Cavities caused by tooth decay
Small cracks or fractures
Chipped or worn teeth
Older fillings that need replacing
Because the material bonds directly to the tooth, composite fillings allow us to work conservatively. This means we can often preserve more of your natural tooth, which supports long-term dental health.
What Are Composite Fillings?
Composite fillings are made from a strong resin material that is carefully matched to the shade of your natural tooth. Once placed, they sit neatly within the tooth structure, restoring strength and appearance at the same time.
They are commonly used to treat:
Cavities caused by tooth decay
Small cracks or fractures
Chipped or worn teeth
Older fillings that need replacing
Because the material bonds directly to the tooth, composite fillings allow us to work conservatively. This means we can often preserve more of your natural tooth, which supports long-term dental health.
Precision Supported By Digital Dentistry
Where appropriate, digital scanning and modern planning tools support the accuracy of composite fillings. These technologies help us assess the tooth clearly, plan the restoration with precision and ensure the final shape works comfortably with your bite.
For you, this means greater accuracy, improved comfort and predictable results you can feel confident about.


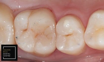
Replacing Older Fillings
Many patients ask about replacing older amalgam fillings. In some cases, these fillings may no longer seal the tooth as effectively or may affect the surrounding structure over time.
Composite fillings can often be used to replace older restorations, improving appearance while supporting the health of the tooth. Any recommendation is made carefully, based on your individual dental needs and long-term care.
Are Composite Fillings Suitable For Everyone?
Composite fillings work well for many situations, though they are not the right solution for every tooth. The size of the repair, the position of the tooth and how it functions within your bite all play a role.
During your consultation, we will assess your tooth thoroughly and talk through your options clearly. If another form of restoration would offer better support over time, we will explain why and help you decide on the most appropriate next step.
Our approach is always guided by what supports your oral health, not by a one-size-fits-all solution.
Why Choose Square Mile Dental Centre?
Choosing a dental clinic is about trust, clarity and feeling at ease. At Square Mile Dental Centre, we hold ourselves to high clinical standards while creating a relaxing, contemporary environment for our patients.
Located close to Liverpool Street, Aldgate and Bank, our private London clinic combines modern digital dentistry with a patient-focused approach. We take time to explain your options, listen to your concerns and plan care that suits you, not just your teeth.
Whether you are visiting for a simple filling or part of a wider treatment plan, you will be supported with clear guidance, careful attention and ethical recommendations.


Precision Supported By Digital Dentistry
Where appropriate, digital scanning and modern planning tools support the accuracy of composite fillings. These technologies help us assess the tooth clearly, plan the restoration with precision and ensure the final shape works comfortably with your bite.
For you, this means greater accuracy, improved comfort and predictable results you can feel confident about.

Replacing Older Fillings
Many patients ask about replacing older amalgam fillings. In some cases, these fillings may no longer seal the tooth as effectively or may affect the surrounding structure over time.
Composite fillings can often be used to replace older restorations, improving appearance while supporting the health of the tooth. Any recommendation is made carefully, based on your individual dental needs and long-term care.

Why Choose Square Mile Dental Centre?
Choosing a dental clinic is about trust, clarity and feeling at ease. At Square Mile Dental Centre, we hold ourselves to high clinical standards while creating a relaxing, contemporary environment for our patients.
Located close to Liverpool Street, Aldgate and Bank, our private London clinic combines modern digital dentistry with a patient-focused approach. We take time to explain your options, listen to your concerns and plan care that suits you, not just your teeth.
Whether you are visiting for a simple filling or part of a wider treatment plan, you will be supported with clear guidance, careful attention and ethical recommendations.











Caring For Your Filling
Looking after a composite filling is simple and fits easily into your normal routine. Brushing twice daily with fluoride toothpaste, cleaning between the teeth and attending regular dental and hygiene visits all help support long-term results.
We will offer clear guidance after your appointment and answer any questions you may have about daily care.
Caring For Your Filling
Looking after a composite filling is simple and fits easily into your normal routine. Brushing twice daily with fluoride toothpaste, cleaning between the teeth and attending regular dental and hygiene visits all help support long-term results.
We will offer clear guidance after your appointment and answer any questions you may have about daily care.
How Long Do Composite Fillings Last?
With good oral hygiene and regular dental reviews, composite fillings can last many years. Their longevity depends on factors such as the size of the filling, where it sits in the mouth and everyday habits such as grinding or clenching.
Ongoing care at home and routine check-ups help us monitor fillings and maintain their condition. If a filling ever needs attention, it can usually be refreshed or replaced with minimal disruption.
Book Your Consultation
If you think you may need a composite filling, or if you would like advice about replacing an existing filling, our team is here to help. A consultation is the first step towards restoring comfort, function and confidence in your smile.
How Long Do Composite Fillings Last?
With good oral hygiene and regular dental reviews, composite fillings can last many years. Their longevity depends on factors such as the size of the filling, where it sits in the mouth and everyday habits such as grinding or clenching.
Ongoing care at home and routine check-ups help us monitor fillings and maintain their condition. If a filling ever needs attention, it can usually be refreshed or replaced with minimal disruption.
Book Your Consultation
If you think you may need a composite filling, or if you would like advice about replacing an existing filling, our team is here to help. A consultation is the first step towards restoring comfort, function and confidence in your smile.
Frequently Asked Questions
Will my composite filling hurt once the anaesthetic wears off?
Most patients experience little to no pain. Mild sensitivity or tenderness is common for a few days and usually settles quickly without treatment.
Can I eat straight after getting a composite filling?
Yes. Unlike amalgam, composite fillings harden immediately, so you can eat the same day once the numbness has worn off.
Are composite fillings safe if I grind my teeth at night?
They can be, but tooth grinding increases wear. If you clench or grind, your dentist may recommend a night guard to protect the filling.
Will my composite filling stain over time?
Composite material can pick up surface staining from coffee, tea, red wine, or smoking, but regular hygiene visits help keep it looking clean.
Can a composite filling fall out?
It is uncommon, but possible if the filling is very large, exposed to heavy bite forces, or if decay develops underneath. Early review usually prevents bigger issues.
Is replacing a metal filling with composite purely cosmetic?
Not always. While appearance improves, replacement is sometimes advised due to cracks, leakage, or structural concerns with older fillings.
Do composite fillings work for biting teeth at the back?
Yes, in many cases. Suitability depends on the size of the cavity and bite pressure, which your dentist will assess carefully.
How do I know if I need a filling or something more serious?
Persistent sensitivity, pain when biting, or food trapping can indicate anything from minor decay to deeper damage. An examination is the only reliable way to confirm.
testimonials
Posted on John Galeano07/10/2025Trustindex verifies that the original source of the review is Google. I visited Square Mile Dental for the first time and was attended by Luciana. She was very professional and did an excellent job, the cleaning only took one hour! I thought I might need two sessions, but it wasn’t necessary. I’m very happy with the results and will try to visit my dentist more regularly from now on.Posted on Volkan Ceylan01/07/2025Trustindex verifies that the original source of the review is Google. We came to London from Türkiye for a holiday, and unfortunately, my girlfriend had a sudden dental issue during our trip. We were honestly very stressed and upset about it. However, we are incredibly grateful to the entire team at Square Mile Dental Centre. They took such great care of her, and thanks to them, our holiday was saved from turning into a nightmare. We truly appreciate their kindness and professionalism!Posted on Clara Korsgren02/05/2025Trustindex verifies that the original source of the review is Google. Dr Amit has been excellent throughout my treatment at Square Mile Dental Centre! Would highly recommend :)Posted on G D23/04/2025Trustindex verifies that the original source of the review is Google. Great staff, very nice and competent. Always feel welcome.Posted on Nigel Thorpe17/04/2025Trustindex verifies that the original source of the review is Google. Excellent care and treatment from Monika, the hygienist. Could not be better. NigelPosted on Hannah R11/04/2025Trustindex verifies that the original source of the review is Google. Square Mile Dental is the best dental practice i've been to in London since i've moved here. I've tried a few out but haven't found a great one until now. Everyone i've seen here has been very professional and you get 5 star service every time. They're very thorough, make you feel comfortable, and do an excellent job!Posted on Amrit Sandhu13/02/2025Trustindex verifies that the original source of the review is Google. Came to Square Mile Dental for my Invisalign treatment and am so happy with my result! The team were nothing but professional and helpful all through my treatment. A huge thanks to Elaine, Shazna and Rosie for making my treatment seamless!!Posted on Richard23/01/2025Trustindex verifies that the original source of the review is Google. Highly recommend Square Mile. The treatment and care I received from Dr Patel, Agnieszka and team has been exceptional. The continuity of care they are able to provide, having so much expertise and experience all under one roof, really sets them apart. I felt fully informed and supported at every step, and I’m really happy with the results.
